谈到膝关节置换,患者朋友们难免感到紧张。
担心一旦医生说需要“换关节”,是不是就意味着自己的膝关节将被“切除”,换成“铁膝盖”,进而导致腿部功能丧失。此外,患者还对“人工关节是否由铁制成”、“术后是否会对假体产生排斥反应”以及“术后还能不能做核磁共振检查”等问题心存疑虑。
我们深知患者对人工膝关节置换的担忧,下文将为您答疑解惑,讲讲膝关节置换那些事儿~

示意图来源于网络,侵删
膝关节是人体最大且最复杂的关节,其主要结构包括股骨下端、胫骨上端及髌骨关节面。

示意图来源于网络,侵删
当膝关节由于各种原因,如晚期膝骨关节炎、类风湿关节炎等,导致关节显著破坏,并出现疼痛、活动障碍等症状,通过药物、理疗等手段医治无效时,则可以考虑接受人工膝关节置换手术。

当膝关节由于各种原因,如晚期膝骨关节炎、类风湿关节炎等,导致关节显著破坏,并出现疼痛、活动障碍等症状,通过药物、理疗等手段医治无效时,则可以考虑接受人工膝关节置换手术。
人工膝关节置换术
顾名思义,是指通过手术将受损的膝关节部分或全部替换为人工关节,以恢复关节功能、缓解疼痛和改善生活质量。


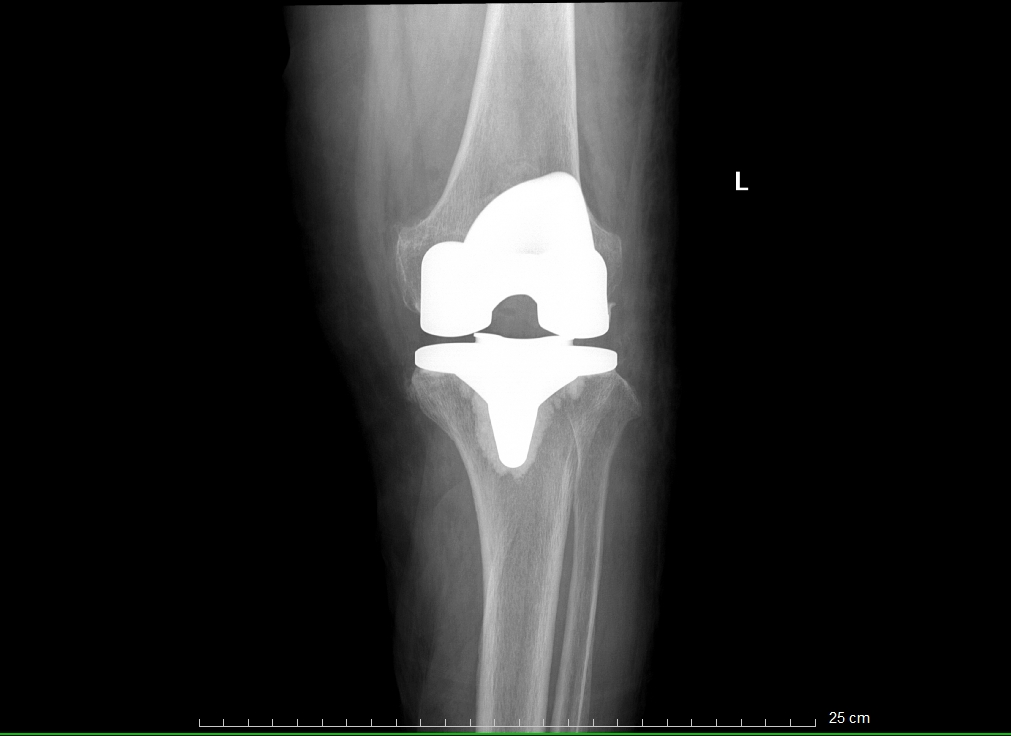
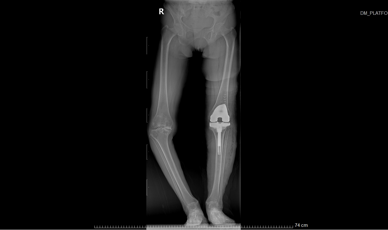
患者术后X光扫描
这个过程可以类比为镶牙,即切除受损部分并替换为金属材料。同理,在膝关节置换术中,医生会移除严重磨损的关节表面软骨及部分软骨下骨,在原位安装与原始膝关节表面形状类似的金属组件(即假体),使用骨水泥将假体与患者自身的股骨和胫骨固定在一起,使之恢复膝关节的正常功能。


患者术前VS术后对比
人工膝关节置换术适应症
关节置换术仅适用于关节软骨严重(或完全)磨损的病人,须严格掌握适应证-终末期膝骨关节炎、类风湿性关节炎、痛风性关节炎、创伤性关节炎、膝关节软骨坏死性疾病等。且须同时满足以下三个条件:
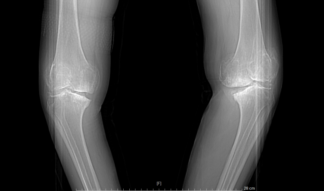
①站立位X光片中显示关节间隙消失或极度狭窄
②行走疼痛、严重影响日常生活
③保守治疗无效



图片部分来源于网络,侵删
人工膝关节是什么材料做的?



股骨侧假体 胫骨侧假体 垫片
股骨侧假体材料选用钴铬钼合金,有良好的生物相容性,兼具极高的硬度和抗蚀性、耐磨性。
胫骨侧假体主要由钛合金精制而成,融入少量的钼、钒、铬等金属元素。耐腐蚀、强度高、重量轻,其硬度、弹性与人体骨骼相近,具有出色的生物相容性。
垫片由高交联超高分子量聚乙烯制成,耐磨损、自润滑、抗老化,研究显示,其年磨损量甚至不到0.01mm,而常规使用的垫片厚度在10mm以上。因此,从理论上讲,仅就磨损而言,垫片的使用寿命可能超过一个世纪。
值得一提的是,无论是钛合金还是钴铬钼合金,这两种材料受到的磁场吸引力都极小,不会干扰核磁检查。
人工膝关节置换术后注意事项
术后,患者需要遵循一系列康复指导和注意事项,以确保手术效果,加速恢复:
术后康复:术后,患者应谨遵医嘱进行康复训练,包括直腿抬高、弯曲、伸展等动作,防止血栓形成并促进关节功能恢复;随后在康复医师的判断下逐步进行床上屈膝、床边压腿、下地站立行走等练习。
活动限制:在康复初期,患者需避免过度使用新关节,如长时间站立或行走,避免剧烈运动和重物搬运。
防治感染:术后遵医嘱适量服用抗炎、止痛药物,注意防治感染,有感染如扁桃体炎、皮肤感染等要积极治疗。
定期随访:患者应遵循医生的建议定期复查,以监测关节的使用情况,预防并发症的发生。一般来说,术后一个月、三个月、六个月及一年为复查的关键时间点。



患者康复锻炼+术后复查实景
综上所述,膝关节置换是重症患者们重获行动自由的新起点,许多患者在术后重返旅行、跳舞、高尔夫等喜爱的活动,生活质量显著提高。
包头平禄骨科医院温馨提示
我们将为您规划
阶梯式镇痛方案和个性化康复路径
您可以放松心情,以积极的态度迎接手术
不久之后,您将迈出崭新的一步
迎接更自由、更舒适的生活!
医疗科普,仅供参考!
参考来源:
[1] 吕惠茹,郭晓英,刘芳云,等.人工膝关节置换术的康复护理[C]//全国第七届骨科护理学术交流暨专题讲座会议.0[2025-04-14].DOI:ConferenceArticle/5aa3fd55c095d72220bff610.
[2] 徐辉,窦宝信,张洪,等.微创技术在人工全膝关节置换术中的应用[J].中华骨科杂志, 2007, 27(4):5.DOI:10.3760/j.issn:0253-2352.2007.04.007.
[3] 纪斌平.人工膝关节置换术[J].人人健康, 2009(7):1.DOI:CNKI:SUN:RRJK.0.2009-07-024.
[4] 赵建宁,周利武,陆维举,等.人工全膝关节置换术的适应证选择及疗效分析[J].中国矫形外科杂志, 2002, 9(2):3.DOI:10.3969/j.issn.1005-8478.2002.02.013.
[5] 数据引自2023年《国际骨科学杂志》Meta分析
咨询热线:0472-7168168
医院地址:包头市东河区井湾路197号
